youxihw下载站:汇聚最热门软件,安全、高速、放心的专业下载站!
youxihw下载站:汇聚最热门软件,安全、高速、放心的专业下载站!
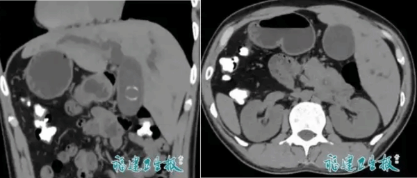
根据“福建卫生报”的报道,近日福建地区发现了一例特殊病例,患者的五脏六腑位置与常人相反,属于“镜面人”情况。
一名男子因腹痛剧烈、皮肤泛黄到医院看病。检查结果令医生们十分意外:这名男子除了患有胆总管结石外,还有一个特别的情况——他的心脏长在右边,而且内脏完全反位,通俗地说就是“五脏六腑像照镜子一样颠倒了位置”。
据了解,“镜面人”是一种极为罕见的病例,其发生率仅为百万分之一。针对这一特殊状况,医疗团队第一时间转变思路,把所有解剖学知识“反向运用”,并细致地规划手术方案。
经过两个小时紧张且精细的“镜像手术”,医生们精准取出了结石。整个手术过程十分顺利,用时仅两小时,出血量不足50ml,堪称“教科书级”的精准操作。术后一周,该男子便康复出院,恢复状况良好。
公开报道表明,现阶段医学界针对“镜面人”现象的成因还没有形成科学定论。
不过,多数专家认为,这或许和人体胚胎发育时,父母体内基因的某个位点同时出现突变,且这些突变基因一同遗传给孩子存在关联。
尽管“镜面人”的内脏位置和普通人完全相反,不过他们的生理功能和正常人没有不同,一般来说对健康与生活不会造成太大影响。
一加中国区总裁透露Turbo6新品:搭载与京东方联合定制的165Hz屏幕

Copyright © 2009-2025youxihw.com. All Rights Reserved .
youxihw下载站是专业的免费软件下载站点,提供绿色软件、免费软件,手机软件,系统软件,单机游戏等热门资源安全下载!
本站资源均收集整理于互联网,其著作权归原作者所有,如果有侵犯您权利的资源,请来信告知,我们将及时撤销相应资源。